矯正治療
診療内容のご案内
orthodontic treatment – consultation menu
歯周病なので矯正治療は出来ないと言われたことはありませんか。
歯並びの悪さは咬み合わせの悪さに繋がり、噛み合わせの悪さは歯周病の原因になります。
当院では歯周病治療の様々なオプションを用意し矯正治療とのコラボレーションにより
機能的で美しく治療結果が長持ちするようそれぞれの患者さんに適した治療計画を提示致します。
歯磨きをしっかりやっているのに歯医者に定期的に通ってメンテナンスを受けているのにどんどん悪化してくる。
そんなお悩みのある方は是非ご相談ください。
全体矯正とは
文字通り見える部分だけでなくすべての歯を理想的な歯並びとかみ合わせを作ることを目的とした矯正です。
全体矯正の適応症
骨格的に大きなずれがある方以外はすべてが適応になります。
- 特にかみ合わせが原因で歯周病になっている方
- かみ合わせが原因で顎関節症や様々な体の不調がある方
- 出っ歯が気になり横顔をすっきりさせたい方
- 部分矯正では対応できない方
全体矯正のデメリット
- 費用と期間が掛かる
- 一時的に噛みにくい期間がある
部分矯正とは
一般的に矯正治療は、上下の顎のバランス、歯の大きさと顎のバランスを整えることにより顎全体の咬み合わせを構築しながら歯並びを治していくため、年単位の治療期間がかかり、費用も高額になってしまいます。
それに対して部分矯正は前歯だけ、または見えるところだけに限定した見た目を重視した治療なので、短期間に安い費用で治療することができます。
「前歯のガタガタが気になるけど、矯正治療は治療期間も長いし、費用も高いので、なかなか踏みきれない」と思われる方に最適です。
部分矯正の適応症
- 見える部分だけ歯並びを治したい方
- 短期間でなるべく費用を抑えたい方
部分矯正のデメリット
- 前歯4本しか動かせない
- 理想的なかみ合わせは作れない
矯正装置の種類
メタルブラケット | セラミックブラケット | マウスピース矯正 |
|---|---|---|
|
|
|
一般的な金属製の矯正装置です。 | 透明で目立ちにくいセラミック製の矯正装置です。 | ワイヤーより違和感の少ないマウスピース矯正、1日22時間装着が必要です |
メタルブラケット |
|---|
|
一般的な金属製の矯正装置です。 |
セラミックブラケット |
|---|
|
透明で目立ちにくいセラミック製の矯正装置です。 |
マウスピース矯正 |
|---|
|
ワイヤーより違和感の少ないマウスピース矯正、1日22時間装着が必要です |
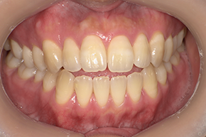
当医院の治療例
| 25歳女性 | 前歯の歯並びが気になる |
|---|---|
| ワイヤー矯正 | |
| 治療期間6か月 |

![]()


![]()

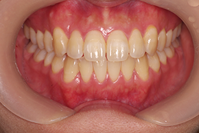
| 32歳女性 | 部分矯正希望 |
|---|---|
| ワイヤー矯正 | |
| 治療期間5か月 |

![]()


![]()

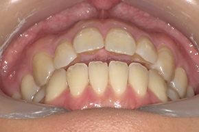
| 45歳女性 | 矯正希望 |
|---|---|
| マウスピース矯正 | |
| 矯正期間10か月 |

![]()


![]()

| 54歳女性 | 前歯がぐらつく |
|---|---|
| ワイヤー矯正 | |
| 矯正期間6か月 |

![]()


![]()

| 63歳女性 | 歯周病が気になる |
|---|---|
| ワイヤー矯正 | |
| 矯正期間7か月 |

![]()


![]()


![]()

| 27歳女性 | 開咬が気になる |
|---|---|
| マウスピース矯正 | |
| 治療期間1年2か月 |

![]()


![]()

矯正治療の費用
| 矯正診断 | 部分矯正 5,500円(税込) 全体矯正 16,500円(税込) |
|---|---|
| 矯正開始時 | 部分矯正 全体矯正 |
| 2回目以降 | 部分矯正 片顎3,300円(税込) 全体矯正 片顎5,500円(税込) |
| リテーナー(保定装置) | 取り外し式 16,500円(税込) 固定式 5,500円(税込) |
ハイブリッド矯正について
ハイブリッド矯正とは「ワイヤー矯正」と「マウスピース矯正」を併用する矯正で、両者の良いところを融合させた矯正法です。
最初にワイヤー矯正で、大きく歯を動かします。その次に、マウスピース矯正で細かい微調整を加えていきます。
治療期間が短縮でき難症例にも対応し治療後期は目立たないマウスピース矯正を行えます。
歯周矯正について
従来、歯周病の患者には矯正治療を行ってはいけないとされてきました。
特に矯正専門医では今でも歯周病患者に矯正を行っていない所がほとんどです。
しかし近年では歯並びが歯周病を悪化させる大きな原因であることが分かり、骨が3分の1程度残っていれば歯周組織再生療法やアンカースクリューなどの治療を併用することにより歯周病患者であっても矯正治療を行うことが出来るようになりました。
治療には歯周病の急性症状がなくしっかりとコントロールされていることが前提となります。
矯正治療のQ&A
Q1 リテーナーはどの位の期間使用するのでしょうか。
原則はどうしても外さないといけない理由がない限りずっと使用して頂きます。ワイヤー固定の場合は患者さん自身で取り外すことは出来ませんが固定が一か所外れたりする場合がありますので検診時にチェックします。取り外し式の場合には最初の半年は食事と人と話す時以外はなるべく長く使用しそれ以降も夜間は必ず使用するようにしてください。人にもよりますが2年位で劣化するので再製作が必要になります。使用時間が短い場合、短期間で後戻りする事がありますのでご注意下さい。
Q2 リテーナーの種類は選べるのでしょうか。
原則上顎は取り外し式、下顎はワイヤー固定になります。上顎でもワイヤーが付けられるスペースがある人は固定式でも可能です。
Q3 後戻りした場合、再矯正は可能ですか。
可能ですが再矯正の費用は半額頂いております。
Q4 部分矯正が出来ないケースはどのような場合ですか。
いわゆる八重歯など犬歯に位置異常がある場合や前歯のかみ合わせが深くブラケットを張るスペースがない場合です。奥歯にも歯列不正がある場合は原則、全体矯正の適応ですがかみ合わせが改善しないことを了解して頂ければ可能な場合も御座います。
Q5 虫歯や歯周病があると出来ませんか。
矯正治療中は歯磨きが難しく虫歯や歯周病を悪化させる恐れがあります。虫歯や歯周病をしっかりと治してから矯正することをお勧めします。
Q6 出来るだけ早く治したいのですがセラミック矯正とどちらがお勧めですか。
セラミック矯正とは歯並びの悪い歯を削ってセラミックを被せることによって歯並びを治すことのようです。一部の美容整形系歯科チェーンで行われているようですが十分な結果が得られないばかりか虫歯の再発セラミックの脱離、さらなる歯列不正の悪化など決してやってはいけない方法です。そもそもセラミック矯正という言葉は歯科専門用語にはないのでご注意下さい。







