審美歯科
診療内容のご案内
cosmetic dentistry – consultation menu
綺麗なセラミック冠を入れたのに数年で歯茎が下がって根本まで見えるようになってしまった。そんな経験は御座いませんか。どんなに綺麗な冠を被せてもその土台となる歯周組織が悪ければ歯茎と調和した美しい歯並びにはなりません。 当院では歯周組織を健全に整え一時的な審美ではなく長期間持続する審美を目指した治療を行っております。
当医院の治療例
ホームホワイトニング治療(保険適応外)治療費27,500円(税込)
術前

![]()
術後

マウスピースの内側に薬剤を塗り、1日2時間、約2週間で歯を削らずに白く出来ます。
スーパーポリリンホワイトニング(保険適応外)治療費1回8,800円×3日(税込)
術前

![]()
術後

世界特許の「分割ポリリン酸Na」素材を使用した最新ホワイトニングシステムで、歯を痛めずに自然で透明感のある白さを実現します。炭素+プラチナナノコロイド配合で歯質も強化し、ステイン除去&付着防止効果で白さが長続きします。
メラニン色素除去(保険適応外)治療費11,000円(税込)
術前

![]()
術後

色素が沈着して、歯ぐきが黒ずんでいる場合など、痛みもなくピンクの歯ぐきを取り戻せます。
特殊な薬液を歯ぐきに塗るだけの約1回でメラニン色素(黒ずみ)を除去できます。
ラミネートベニア修復(保険適応外)1本110,000円(税込)
術前

![]()
術後

歯の表面を一層削り、つけ爪のように接着することによって、前歯の隙間を矯正をせずに埋めることができます。
オールセラミック修復前歯1(保険適応外)1本132,000円(税込)
術前

![]()
術後


金属を全く使わない、無垢のセラミック歯です。すり減りや変色が無く、金属を全く使わないため、明るく透明感があるのが特徴です。
色調がぴったり合っていれば、天然の歯とまったく区別がつかないほどの美しさです。金属アレルギーの方には最適です。
オールセラミック修復前歯2(保険適応外)1本132,000円(税込)
術前

![]()
術後


部分矯正とホワイトニングとオールセラミックを組み合わせた症例
オールセラミック修復前歯3(保険適応外)1本132,000円(税込)
術前

![]()
術後


酸蝕症で歯がすり減ってしまった前歯をオールセラミックで修復してあります。仮歯で何度も形態を修正し患者さんの希望に沿った形にカスタムメイドで製作しています
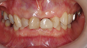
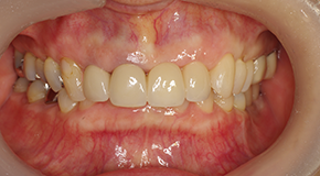
オールセラミック修復前歯4(保険適応外)1本132,000円(税込)
術前

![]()
術後


右上の前歯を1本抜いてありますが歯肉移植によってどの歯を抜いたのか分からないような仕上がりになっています。
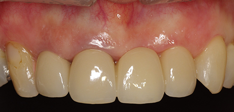
オールセラミック修復前歯5(保険適応外)1本132,000円(税込)
術前

![]()
術後


マウスピース矯正で歯並びを改善した後にオールセラミックのブリッジを入れた症例
オールセラミック修復奥歯(保険適応外)
クラウン1本132,000円(税込)
インレー1本88,000円(税込)
術前

![]()
術後

術前

![]()
術後

適合の悪い銀歯やすり減って段差が出来ているプラスチックの詰め物をセラミックで修復しました。見た目が美しいだけでなく汚れが付きにくく清掃しやすくなりました。
インプラントとの組み合わせ修復(保険適応外)インプラントの費用+部分矯正165,000円~(税込)
術前

![]()
術後

奥歯にインプラントを2本入れ、前歯部は部分矯正で歯並びを改善してあります。
術前

![]()
術後

奥歯にインプラントを5本入れ、前歯を部分矯正によって改善してあります。
メタルボンド修復(保険適応外)1本110,000円~121,000円(税込)
術前

![]()
術後

金属の上にセラミックを焼き付けてある歯です。金属の強さとセラミックの美しさを兼ね備えた歯です。
明るさや透明感はオールセラミックに劣りますが、すり減りや変色が無くブリッジにも適応可能です。50年以上の長い歴史がある歯です。
硬質レジン修復(保険適応)
術前

![]()
術後

パラジウム合金にプラスチックを張り付けた歯、すり減りや変色があるため、数年で色が黄ばんでくる、透明感が低いのでセラミックに比べると色調が劣ります。
スーパーポリリンホワイトニングについて

スーパーポリリン
ホワイトニングシステム
世界特許の「分割ポリリン酸Na」素材使用
最新ホワイトニングシステム
世界初の技術!最新ナノテクノロジー 炭素+プラチナナノコロイド配合
<世界特許取得済み!>
新・予防ホワイトニングシステム
分割ポリリン酸で歯を予防コーティング
痛くない
歯を傷めないので「痛み」「シミ」を感じません。
歯にやさしい
歯を傷つけにくくエメナル質の表面を守ります。
食事制限なし
ホワイトニング直後からご飲食OK!色の濃いものもご飲食いただけます。
自然な白さ
炭素&プラチナ効果で透明感のある自然な白さ。
白さ長持ち
ステイン除去&付着防止効果で白さが長続きします。
安心価格
必要な費用は、事前にお伝えします。
スーパーポリリンホワイトニングシステムはここが違います!
驚きの白さ!
ホワイトニング
システム
最新予防
システム
| 一般的な 歯磨き剤 | 一般的な ホワイトニング | スーパーポリリン ホワイトニング | |
|---|---|---|---|
| 時間の短さ | ◎ | × | ○ |
| ホワイトニング効果 | × | ○ | ◎ |
| 仕上がりのナチュラル感 | × | △ | ◎ |
| 歯のダメージ | △ | × | ◎ |





