総合治療
Comprehensive treatment
歯周病治療、インプラント治療、矯正治療、補綴治療などすべての治療を総合的に行った治療例です。すべての治療に専門医レベルの高い技術が求められると同時に 患者さんの協力があってはじめて行える治療です。
当医院の治療例
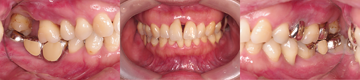
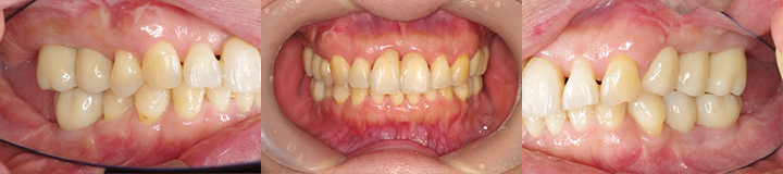
患者43歳女性
主訴東京でたくさん治療したが通いきれなくなった
治療内容インプラント、歯周外科手術、補綴治療
治療期間4年
術前

術後

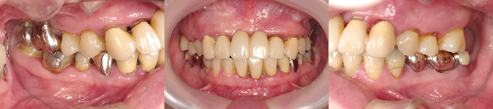
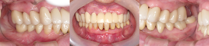
患者46歳女性
主訴膿が出る
治療内容インプラント、歯周外科手術、補綴治療
治療期間5年
術前

術後

患者49歳女性
主訴前医の治療計画が不安
治療内容インプラント、歯周外科手術、矯正治療、補綴治療
治療期間3年
術前

術後

患者73歳女性
主訴左の奥歯が痛む
治療内容インプラント、歯周外科手術、補綴治療
治療期間4年
術前

術後

患者40歳女性
主訴全体的に歯周病 右上奥歯うずく 咬むと痛い
治療内容インプラント、歯周外科手術、矯正治療、補綴治療
治療期間4年
術前

術後

患者65歳女性
主訴右上がしみる 左で咬めない
治療内容インプラント、歯周外科手術、補綴治療
治療期間4年
術前

術後




